SICOT e-Newsletter - April 2015: SICOT Global Network of Electronic Learning

Case of the Month

Removal of a broken intramedullary femoral nail with two unusual patterns of breakage: A case report

AuthorMohamed Elhady 

 

19-year-old male had fracture of femur which was treated by open IM nailing with aseptic non-union for 2 years where stiff knee arthroscopy and knee manipulation were done.

 

Preoperative muscle state with inability to flex his knee.

 

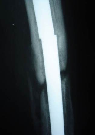
A few months later the patient presented with 2 nail breaks.

  

 

  • No recent trauma

  • No infection

  • Limping

  • Unable to elevate extended knee

  

 

  • What is the possible plan of management?

  • How could we remove the parts of the nail?

  • Nail or plate?

  • Graft or not?


Click here to read more...


 

 

 

 

 

 

 

 

 

 

 

 

 

 

 

 

 

 

 

 

 

 

 

 

 

 

 

 

 

 

 

 

 

 

 

 

 

 

 

 

 

 

 

 

 

 

 

 

 

 

 

 

 

 

 

 

 

 

 

 

 

 

 

 

 

 

 

 


Back to previous section


Nail parts after removal

 

Perioperative data:

  • Operative time: 4 hours nail removal + 2 hours plate insertion.

  • Blood loss: 2000cc, 3 units transfused.

  • Middle part of the nail was removed by a small break in the lateral cortex.

  • Distal part of the nail was removed by a hole distally in the lateral cortex then pushed by a drill pit and pulled through the medulla by an intestinal clamp.

  • Bone graft.

  • No infection postoperative.

 

4 months later

 

5-year follow-up X-ray

 

5-year follow-up function